ブラックトライアングルをダイレクトボンディングで改善した50代女性M様の症例

歯と歯の間に三角形のすき間ができ、黒く見えてしまう状態を「ブラックトライアングル」と呼びます。
鏡を見たときや、写真に写ったときに「口元が老けて見える」「笑顔に自信が持てない」と気になるのは嫌ですよね?
この現象は、加齢による歯ぐきの後退や歯周病、矯正後の歯の位置変化など、さまざまな理由で起こります。歯そのものが健康でも、見た目の印象に大きく影響するため、美容的なご相談として来院されるケースも増えています。
今回は、この前歯のブラックトライアングルに対し、ダイレクトボンディングを用いた症例をご紹介します。
ダイレクトボンディングとは?

ダイレクトボンディングとは、ハイブリットレジンをすき間に直接詰めることで隙間を埋める治療方法です。
一般的に1〜2回の通院で完了することが多い治療です ※症例により異なります。
一方で、ダイレクトボンディングでの治療は将来的に材料と歯の間に段差が生じたり、着色して色味が気になる場合があります。歯や歯ぐきの状態によっては別の治療をおすすめするケースもあります。そのため、まずはお口の状態を確認したうえで、患者さまにとって適した方法をご提案いたします。
「前歯のすき間が気になるけれど、どう治したらいいか分からない」
「矯正までは考えていないが、自然に見せたい」
治療後に見た目が改善したと感じる患者さまもいらっしゃいます(※効果には個人差があります)
そんな方は、まず一度ご相談ください。
ここで、実際の治療手順を見てみましょう!
ダイレクトボンディングでブラックトライアングルを改善した症例
50代女性M様の症例
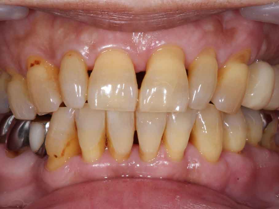
術前

術前の写真です。
歯茎が下がったことでブラックトライアングルが気になるようになったそうです。
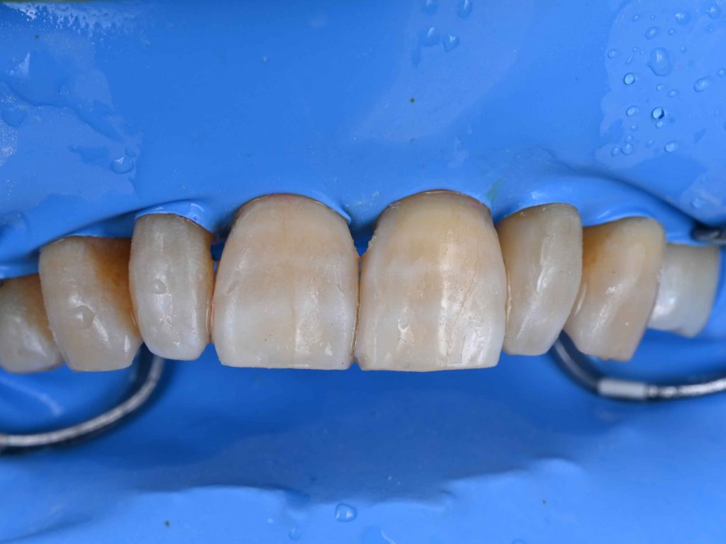
ラバーダム防湿

ラバーダム防湿を行って治療を進めていきます。
ダイレクトボンディング

ハイブリットレジンで歯の形態を修正していきます。
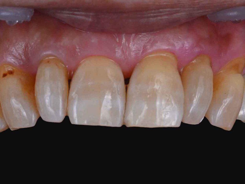
術後

上の前歯のブラックトライアングルを改善することができました。
術前術後


| 治療内容 | ダイレクトボンディングによるブラックトライアングルの改善 |
| 費用 | 前歯のダイレクトボンディング 1歯:77,000円(税込)×2本 ※自由診療になります |
| 治療期間 | 治療期間:1日 来院回数:1回 |
| リスク 副作用等 | ・ハイブリットレジンの着色、脱離、段差が生じる可能性がある |
このように、A様はダイレクトボンディングでブラックトライアングルを改善することができました。
歯が気になってうまく笑えない…とお悩みの方は一度ご相談ください。
当院は完全予約制です。
予約や相談をご希望の方は、
お気軽にお問い合わせください。

金城 文乃
Kinjyo Akino
マイクロスコープ歴 14年
精密根管治療歴 14年

小山田 晃樹
Oyamada Koki
マイクロスコープ歴 8年
精密虫歯治療 8年

行田 長隆
Kohda Nagataka
マイクロスコープ歴 17年
精密歯周外科歴 13年
マイクロスコープ(歯科用顕微鏡)を使用した診療イメージ

マイクロスコープの20倍の拡大視野で観察すると、虫歯や歯石などを細かく観察できます。
※診療内容や治療部位によってはマイクロスコープを使用しない治療もあります。
診療時間
月~金曜 10:00~14:00
15:00~18:00(最終受付17:00)
土曜 10:00~13:00
14:00~17:00
※現在、土曜日の診療予約が大変混み合っているため、土曜日のみで治療をご希望の初診の患者様の予約をお受けすることができません。 丁寧な治療を維持するため、ご理解の程よろしくお願いいたします。





