二次むし歯(二次カリエス)を防ぐためにセラミック治療を選択した20代男性K様の症例

「詰め物をした歯がしみる気がする」
「治療したはずなのに、同じ歯が何度もむし歯になる」
このようなお悩みの背景に、二次むし歯(二次カリエス)が関係している場合があります。
二次カリエスは、過去に治療した詰め物や被せ物の周囲から再発するむし歯のことです。
見た目では分かりにくいことも多く、気づいたときには進行しているケースもあります。
だからこそ、再治療をする際には「むし歯を取る」だけでなく「再発しにくい環境をつくる」ことが重要です。
そこで注目されているのが、二次カリエスへのセラミック治療です。
二次カリエスを防ぐためには、歯と詰め物の間にすき間ができにくいようにフィット(適合)の良い修復を目指すことが大切です。
当院では、状態やご希望に合わせてフィット(適合)を重視した治療方法としてセラミック治療をご案内する場合があります。
- 1. 二次カリエスとは?治療した歯が再びむし歯になる原因
- 2. 二次カリエスを防ぐには「フィットの良い被せ物」が重要
- 3. 【症例紹介】二次カリエスが疑われた歯をセラミックで修復した症例
- 4. 二次カリエスをセラミックで治療した症例紹介
- 5. セラミック治療が二次カリエス予防に役立つ可能性がある理由
- 6. 二次カリエス セラミック治療が向いている可能性がある方
- 7. セラミック治療の注意点・リスク
- 8. 二次カリエスを予防するために大切なこと|治療後のケア
- 9. よくある質問
- 10. まとめ|二次カリエスへのセラミック治療
- 11. マイクロスコープ(歯科用顕微鏡)を使用した診療イメージ
- 12. 診療時間
- 13. 友和デンタルクリニック7つのお約束
二次カリエスとは?治療した歯が再びむし歯になる原因
二次カリエスとは、一度治療した歯に再びむし歯ができる状態です。
特に多いのが、詰め物・被せ物の境目からむし歯が広がるケースです。

二次カリエスが起こりやすい理由
二次カリエスの原因は一つではありませんが、代表的なものとして以下が挙げられます。
- 詰め物と歯の境目にわずかなすき間ができる
- 段差に汚れがたまり、磨き残しが増える
- 接着部分が経年劣化する
- 噛み合わせによる負担で微細なズレが生じる
- 食生活や歯みがきの状態によりむし歯リスクが高い
- 金属の下の虫歯はレントゲンでは写って来ないため、虫歯の発見が難しい

二次カリエスは「治療が失敗した」という単純な話ではなく、時間の経過や生活習慣、お口の環境によって起こり得るものです。
そのため、二次カリエスの予防を考えるときには治療後の環境づくりが重要になります。
境目をできるだけ整え、汚れがたまりにくい状態を目指すことが再発リスクを抑える方向につながります。
二次カリエスを防ぐには「フィットの良い被せ物」が重要

二次カリエスを防ぐためには、毎日の歯みがきや定期的なメンテナンスも欠かせません。
しかし、それと同じくらい重要なのが詰め物・被せ物のフィット(適合)です。
フィットが悪いと起こりやすいこと
フィットが十分でない場合、わずかなすき間や段差が生じることがあります。すると、歯ブラシが届きにくくなり、汚れが残りやすくなる可能性があります。
結果として、詰め物の周囲に細菌が停滞し、二次カリエスのリスクにつながる場合があります。
二次カリエスへのセラミック治療が注目される理由
セラミック治療は、見た目の自然さだけでなく表面が比較的なめらかで汚れが付着しにくい特徴があるとされています。
さらに、精密に作製できる場合、歯との境目を整えやすくなります。
そのため、二次カリエスの予防を意識する方にとって、二次カリエスへのセラミック治療は検討されることの多い治療方法の一つです。
※ただし、二次カリエスを必ず防げるわけではありません。お口の状態や生活習慣によりリスクは変化します。
【症例紹介】二次カリエスが疑われた歯をセラミックで修復した症例
本症例は、過去に治療した歯の詰め物の周囲に違和感があり、検査の結果、二次カリエスが疑われたケースです。
二次カリエスの可能性を考慮し、古い修復物を除去したうえで、歯の状態を整え、セラミックによる修復を行いました。
※治療の効果には個人差があります。
※同様の結果を保証するものではありません。
治療の流れ|二次カリエスのセラミック治療手順
治療前

保険治療の金属(パラジウム)の被せ物が入っています。
適合(フィット)が悪く、隙間から虫歯になっていました。
1日目(虫歯治療~型取り)
ラバーダム防湿

ラバーダム(ゴムのマスク)を装着し、唾液の入らない環境で治療を行います。
古い詰め物を除去し、歯の状態を確認

まずは金属の被せ物を丁寧に取り除き、歯の内部を確認します。
むし歯の除去とCR裏層

中で虫歯になっているため虫歯を取り除き、コンポジットレジン(CR)で失った内部を修復します。
形成

修復物が装着できるよう歯の形を整えました。
この段階での歯の形の精度も、セラミックのフィットにも影響します。
二次カリエスへのセラミック治療では境目がなめらかにつながる形を作り、汚れが残りにくい環境を目指します。
型取り(または口腔内スキャン)

修復物を精密に作製するため、歯の形の型取りを行います。
二次カリエスへのセラミック治療では、「すき間や段差を減らすこと」が大きな目標でもあるため、型取りの工程は非常に重要です。
型取りを行ったあとは仮蓋を行い、1日目の治療は終了です。
セラミックの作成

型取りを元に、併設の歯科技工所で歯科技工士がセラミックを作成します。
二日目(被せ物セット)
ラバーダム防湿、歯肉圧排

湿潤環境では歯と被せ物の接着が上手くいきません。
部分的な被せ物はラバーダム防湿を行い、乾燥状態でセットしていきます。
被せ物の形や口腔内の状況によってはラバーダム防湿ができない場合もあります。
そういった場合はラバーダム以外の器具を使用して乾燥状態にすることもあります。
染め出し、クリーニング

接着面に汚れや残っている場合も接着の阻害になるため、染め出しを行った上でクリーニングをしていきます。
エッチング

エッチングと呼ばれる酸処理剤をエナメル質に塗布します。
エッチング後

エッチングを水洗、乾燥させると酸処理された部分が白いすりガラス状になっているのが分かります。
この処理を行うことで、より接着強度が高まります。
4. セラミック修復物の装着と噛み合わせの確認

完成したセラミック修復物をレジンセメントで装着します。
レジンセメントは酸素に触れると固まりにくい性質があるため、完全硬化させるために酸素を遮断する性質のあるオキシガードと呼ばれる材料を表面に塗布します。
オキシガードを水洗後、ラバーダムを外して噛み合わせを確認しました。
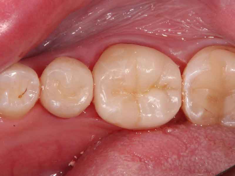
治療後

適合(フィット)のいいセラミックが入り、歯と被せ物の間に隙間がなくなりました。
お手入れもしやすい環境になったため、今後の二次カリエスの予防にも繋がります。
術前術後


| 治療内容 | 二次むし歯(二次カリエス)のセラミック修復 |
| 費用 | E-Max(セラミック)インレー 1歯 132,000円×2本分=264,000円(税込) ※自由診療になります |
| 治療期間 | 治療期間:2週間 来院回数:2回(噛み合わせの確認で別途来院の可能性あり) |
| リスク 副作用等 | ・一時的に歯がしみる可能性 ・被せ物の脱離、欠ける可能性 があります。 |
二次カリエスをセラミックで治療した症例紹介
セラミック治療が二次カリエス予防に役立つ可能性がある理由
二次カリエスは「詰め物がある歯に起こる再発むし歯」であるため、境目の管理が特に重要です。
二次カリエスにセラミック治療が検討される理由には、以下のような点があります。
汚れが付着しにくい性質が期待できる
セラミックは表面が比較的なめらかで、汚れが付着しにくいとされています。
そのため、清掃環境を整える目的で選択されることがあります。
フィットを重視した設計がしやすい
二次カリエスを予防するためのセラミック治療では、歯と修復物の境目をできるだけ整えることが重要です。
修復物の精度が高いほど、段差が少なくなり、清掃性が高まりやすくなります。
※ただし、素材に関係なく二次カリエスが起こる可能性はあります。セルフケアと定期管理が重要です。
歯科技工所併設のため歯科技工士との連携が可能

院内に技工所を併設しているため、補綴物の製作・調整について、歯科医師と歯科技工士が連携しやすい体制です。
二次カリエス セラミック治療が向いている可能性がある方
以下に当てはまる方は、二次カリエスの再発予防の観点から、セラミック治療が選択肢になる場合があります。
- 同じ歯を何度も治療している
- 詰め物の境目が気になる
- 二次カリエスをできるだけ防ぎたい
- 清掃しやすい状態を重視したい
- 見た目も自然に整えたい
ただし、噛み合わせや歯ぎしり、歯の残っている量などにより適応は異なります。
二次カリエス セラミックを検討する場合は、まず検査を行い、適した方法をご提案します。
セラミック治療の注意点・リスク
セラミック治療はメリットが期待できる一方で、注意点もあります。
- 噛み合わせや歯ぎしりによって欠けたり割れたりする可能性があります
- 歯の状態によっては適応できない場合があります
- 二次カリエスが必ず防げるとは限りません
- 保険治療外の自由診療となります
当院では、こうした点も含めて分かりやすく説明し、ご理解いただいたうえで治療を進めます。
二次カリエスを予防するために大切なこと|治療後のケア
二次カリエスを防ぐには、フィットの良い修復物を選ぶことだけでなく、治療後のケアも重要です。
二次カリエス セラミックを行った場合でも、次の点を意識することが大切です。
- 正しい歯みがき(境目を意識する)
- フロスや歯間ブラシの併用
- 定期的な検診・クリーニング
- 噛み合わせや力のコントロール
二次カリエスは早期に見つかるほど負担を抑えやすくなる可能性があるため、違和感がある場合は早めに相談することが大切です。
よくある質問
二次カリエスに対するセラミック治療のFAQ
Q. 二次カリエスとは何ですか?
A. 二次カリエスとは、過去に治療した詰め物や被せ物の周囲から再びむし歯が発生する状態を指します。補綴物と歯の境目は汚れが溜まりやすく、経年劣化や清掃不足などが重なることでむし歯が再発することがあります。見た目では気づきにくい場合も多く、進行すると歯の内部まで広がることもあるため、定期検診による早期発見が重要です。
Q. 二次カリエスは必ず起こりますか?
A. 二次カリエスは必ず起こるものではありません。しかし、詰め物や被せ物の周囲はむし歯が再発しやすい部分でもあります。セルフケアが不十分だったり、補綴物が経年劣化して隙間ができたりすると発生する可能性があります。毎日の丁寧な歯みがきと歯科医院での定期的なメンテナンスを行うことで、リスクを抑えることが大切です。
Q. 二次カリエスはどのように見つかりますか?
A. 二次カリエスは、見た目だけでは分かりにくいことも多く、歯科医院での検診やレントゲン検査によって発見されることがあります。詰め物の周囲の変色や違和感、冷たい物がしみるなどの症状がきっかけになることもありますが、症状がないまま進行するケースも少なくありません。そのため、定期検診でのチェックが重要です。
Q. セラミックなら二次カリエスを防げますか?
A. セラミック治療は二次カリエスを完全に防げるわけではありませんが、歯との適合性が良く、表面が滑らかで汚れが付きにくい特徴があります。そのため、金属の詰め物などと比較してむし歯の再発リスクを抑える面で有利に働く可能性があります。ただし、素材に関わらずセルフケアや定期的なメンテナンスは欠かせません。
Q. 二次カリエスになった場合は必ずやり直しが必要ですか?
A. 二次カリエスの進行度によって対応は異なります。初期の段階であれば小さな治療で済むこともありますが、むし歯が広がっている場合は詰め物や被せ物を外して再治療が必要になることがあります。進行すると神経の治療が必要になる場合もあるため、早期発見と早期治療が歯を長く残すためのポイントになります。
Q. 二次カリエスのリスクを減らす方法はありますか?
A. 二次カリエスのリスクを減らすためには、毎日のセルフケアと歯科医院での定期的なメンテナンスが重要です。歯ブラシだけでなくフロスや歯間ブラシを使用することで、詰め物や被せ物の周囲の汚れを落としやすくなります。また、定期検診を受けることで補綴物の状態を確認し、問題があれば早めに対応できます。
Q. 二次カリエスへのセラミック治療は誰でもできますか?
A. セラミック治療が適しているかどうかは、歯の状態や噛み合わせ、歯ぎしり・食いしばりの有無などによって異なります。むし歯の大きさや残っている歯の量によっては、他の治療方法が適している場合もあります。歯科医院で検査や診査を行い、口腔内の状態を確認したうえで適した治療方法をご提案します。
まとめ|二次カリエスへのセラミック治療
二次カリエスは過去に治療した歯に起こる再発むし歯であり、詰め物や被せ物の境目から進行することがあります。
そのため、二次カリエスを防ぐにはむし歯治療だけでなく、治療後の環境を整えることが重要です。
当院では二次カリエスの予防を意識し、フィットの良い修復物を目指した治療の一つとしてセラミック治療をご提案する場合があります。
二次カリエスへのセラミック治療で、段差やすき間をできるだけ減らし清掃しやすい状態を目指すことは、再発リスクを抑える方向につながります。
二次カリエスが不安な方や詰め物の周囲の違和感が気になる方は、どうぞお気軽にご相談ください。
当院は完全予約制です。
予約や相談をご希望の方は、
お気軽にお問い合わせください。
マイクロスコープ(歯科用顕微鏡)を使用した診療イメージ

マイクロスコープの20倍の拡大視野で観察すると、虫歯や歯石などを細かく観察できます。
※診療内容や治療部位によってはマイクロスコープを使用しない治療もあります。
金城 文乃
Kinjyo Akino
マイクロスコープ歴 14年
精密根管治療歴 14年
小山田 晃樹
Oyamada Koki
マイクロスコープ歴 8年
精密虫歯治療 8年
行田 長隆
Kohda Nagataka
マイクロスコープ歴 17年
精密歯周外科歴 13年
診療時間
月~金曜 10:00~14:00
15:00~18:00(最終受付17:00)
土曜 10:00~13:00
14:00~17:00
※現在、土曜日の診療予約が大変混み合っているため、土曜日のみで治療をご希望の初診の患者様の予約をお受けすることができません。 丁寧な治療を維持するため、ご理解の程よろしくお願いいたします。
お知らせ
友和デンタルクリニック7つのお約束

- 初回カウンセリングでしっかり話を伺います
- 治療内容をしっかり説明し、治療内容をビデオ録画でご覧になれます
- マイクロスコープで精密な治療を提供しております
- 痛みの少ない治療を目指しています。
- 半個室の診療室でプライバシーにも配慮
- 担当制、歯科医師、歯科衛生士、歯科技工士のチーム医療
- 技工所との連携

を使った虫歯治療-Movie-Dentistry-10-100x100.jpeg)

を使った審美歯科治療-Movie-Dentistry-100x100.jpeg)

を使った虫歯治療-Movie-Dentistry-6-100x100.jpeg)
の装着の流れ-100x100.jpeg)